
在北京南中轴附近,一座国家级生物医药创新平台——国际医药创新公园(BioPark),正从规划蓝图加速落地为产业实景。秉持“创新、国际、共享”的理念,这片创新沃土不仅汇聚了阿斯利康、辉瑞、美敦力等全球医药产业巨头,更吸引了首药控股等一大批本土创新药企扎根生长,逐步成长为北京生物医药产业创新发展的重要增长极。

首药控股创新药研发与产业化基地落地BioPark,布局24条研发管线,覆盖多发性骨髓瘤、肺癌、膀胱癌、白血病等十余种疾病。

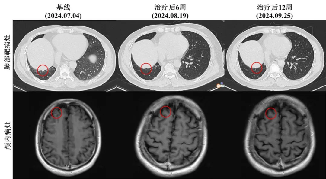
药融圈获悉,Ficonalkib(SY-3505)是首药控股(北京)股份有限公司自主研发的第三代ALK激酶抑制剂(TKI),是国内首个进入临床研究,也是目前进度最快的国产第三代ALK-TKI。
根据最新披露的信息,该研究中有一例ALK阳性晚期NSCLC伴随脑转移的初治患者,在接受Ficonalkib治疗后,所有病灶均实现了完全缓解。

10月24日,2024国际生物医药产业创新北京论坛在北京经济技术开发区(北京亦庄)开幕。本次论坛紧扣“培养发展新质生产力・推动医药健康高质量发展”主题,深入探讨三医协同向新发展、产业前沿领域布局、创新药物国际合作、创新药械研发评价等关键话题。

7月5日下午,由《证券日报》社主办、合享汇智集团协办的2024科创领军者交流大会在北京顺利召开。在圆桌论坛环节,谈及资本市场与科技创新“双向奔赴”这一话题,首药控股董事长、总经理李文军表示:“资本向来都是科技进步的助推器,今天的科技创新企业更是离不开资本的助力。”

“国家培育和发展新质生产力,推动国产创新药研发和行业发展驶上快车道。我们对行业前景满怀信心,要攻克一个又一个前进路上的困难,开发出更多更好能充分满足百姓需求的国产创新药。”首药控股副总经理孙颖慧做上述表示。

曾用6.7亿元孵化出23条有竞争力的产品管线,一梯队核心产品有望成为首款“国产替代”,临床数据的优势表现在股价上是半年里时有涨停……这家低调的Biotech,正逐步从小分子领域脱颖而出。

记者从首药控股获悉,今年上半年,该公司自主研发管线中有2个核心品种陆续进入关键临床II期研究阶段,公司针对这两个项目分别召开了全国研究者讨论会。

2月6日,首药控股发布投资者关系活动记录表,公司于2月2日、3日接受西南证券、光大证券、华西证券、易方达基金、人寿养老、华夏基金、平安基金、长城基金、中加基金、中信建投基金、建信养老、新华基金多家机构调研,从调研内容中,我们得以管窥这家小分子创新药企业的“创新密码”。

首药控股1月13日发布投资者关系活动记录表,公司于2023年1月10日至12日接受中信证券、国新证券、易方达基金等多家机构调研。调研内容包括:

SY-3505(也称CT-3505)是首药控股(北京)股份有限公司完全自主研发的一款第三代ALK激酶抑制剂,是国内首个进入临床研究的国产三代ALK抑制剂。目前,由首药控股(北京)股份有限公司申办的“CT-3505胶囊治疗ALK阳性非小细胞肺癌患者的I/II期临床试验(CT-3505-I-01)”在全国多中心开展,获得良好的效果。以下为郑州大学第一附属医院肿瘤科二病区李醒亚主任团队相关临床研究病例分析:

首药控股10月13日发布投资者关系活动记录表,公司于2022年10月13日接受嘉实基金调研。调研内容包括:

首药控股9月2日发布投资者关系活动记录表,公司于2022年8月30日接受富国基金调研。

首药控股8月30日发布投资者关系活动记录表,公司于2022年8月26日接受光大证券调研。

首药控股(688197.SH)1日发布公布,公司于近日收到中国医学科学院肿瘤医院伦理委员会出具的关于“CT-3505胶囊治疗ALK阳性非小细胞肺癌患者的I/II期临床试验(CT-3505-I-01)”修改案审批报告,该院伦理委员会认为该项目的修改案基本符合伦理要求,可以在临床研究中使用

首药控股7月14日发布投资者关系活动记录表,公司于2022年7月12日接受1家机构单位调研,机构类型为基金公司。

疫情之下,每一名共产党员都是一面旗帜,他们冲在科研和生产的第一线,一直战斗在最前沿。同心战疫显初心,在此背景下,首药控股更加坚定了科研攻关的信心,激发身边人的热情,用科学精神抓紧创造出中国人自主发明的一类新药。

5月10日下午,首药控股(688197.SH)以直播的形式举行了上市后的首次业绩说明会,公司管理层就投资者颇为关注的临床研究进展、商业化策略、核心团队背景等方面做了详细介绍。

近日,科技部、全国工商联在京举行会商会议暨共同培育科技领军企业工作座谈会。首药控股董事长李文军在座谈会上表示,创新是需要有眼光和敢闯精神的,因为新技术应用前具有不确定性。这就需要有社会责任感的创新药企业,在中国这块视创新为生命的热土上,发扬“两弹一星”老一辈科学家的务实作风,耐得住寂寞、经得起诱惑,努力创新,让中国人的“药瓶子”紧紧攥在自己手里,以应对世界百年未有之大变局。

近日,2022年欧洲肺癌大会(ELCC 2022)通过虚拟平台线上举办。在2022年ELCC大会上,首药控股(北京)股份有限公司(以下简称“首药控股”)三代ALK抑制剂SY-3505的临床I期研究结果以电子壁报(E-Poster)的形式进行了展示,相关研究结果摘要已经在ELCC官网在线公布。

“我们始终以患者的需求为导向,致力于为患者提供可负担的创新药。”李文军说,他的理想是“让中国的肿瘤患者用治感冒的钱治好癌症”。

日前,北京市政协委员、首药控股(北京)股份有限公司董事长李文军表示,过去的一年,中国药企申报国家药审中心的临床试验品种多达794件,且每年正以40%的申报速度快速递增,中国在2021年研发管线的产品数量对于全球的贡献比重已经达到了13.9%。面对如此强大的创新实力,要想提高临床试验质量和进度、降低临床试验风险和成本,势必利用先进的信息技术,尽快建立起全智能化的临床试验平台。

患者于2017年7月5日在北京协和医院参加CT-707的临床试验,口服CT-707治疗后第1次复查结果显示,肺内病灶相比之前明显缩小,身体状况明显改善;第2次复查,肺内病灶完全消失(如上图2017-9-26),最佳疗效为完全缓解(CR)。该患者在家继续口服靶向药物,定期返院复查,CR一直持续到现在(持续用药超过42个月)。

谈到做新药,人们常说的就是“10亿美元、15年时间、九成失败率”的成本。做新药不容易,做患者用得起的新药好药更不容易,但刘志华偏偏选择了这样一条不容易走的路。

近期,作为北京市政协委员,首药控股董事长李文军提交了一份《关于加强北京战略性药品的研发、生产、储备的建议》(附后),其中提到应“提前预判、提前准备、提前研究,重点是瞄准未来可能发生的全局性重大疫情开展联合研究,储备一批属于北京自己发明的前沿性重大病毒性疾病疫情科技成果。”

据首药控股工作人员介绍,该公司在董事长李文军带领下,积极开展了四项疫情防控工作。

人民政协网北京1月10日电(记者 杨岚)“没有面粉何来饺子,不完整的产业链就是无本之木,北京医药产业也就很难发展壮大。” 北京市政协委员李文军在北京市政协十三届三次会议期间谈及北京医药产业发展时表示。

2019年12月29日,首药控股(北京)有限公司在北京召开CT-707第二次全国临床研究者会

北京经济技术开发区宣传部新闻中心记者刘娜对李文军的访谈

2019年7月21日,首药控股CT-3505临床l期试验项目启动会在北京人卫酒店302会议室召开。

千龙网北京1月14日讯 “我们这些中国的创新药企业,要有家国情怀,要抓紧去突破创新,抓紧创造出中国老百姓患者能够吃得起的一类新药,这个是根本。”

1月15日消息“目前,我国的创新药还处于模仿创新阶段,主要是跟着国外潮流,在国外发现的药物作用靶点、作用机制的基础上进行模仿性的创新,而我们国家的原始创新相当薄弱,缺乏首创药物。”北京市政协委员李文军在接受采访表示。